新しい矯正治療インビザライン(マウスピース矯正)について知っておくべき 5つのこと

歯並びの良いきれいな歯は、とても好感がもてますよね。特に笑った時に、歯並びの良い美しい歯が見えるのは、とても印象が良いものになります。特に欧米では、社会的なアドバンテージとして高く評価されます。
日本では、昔は「八重歯がかわいい」などと言われていた時代もあり、矯正治療に関心の薄い時代もありましたが、近年は歯並びの美しさが、社会的なアドバンテージとして認識されるようになってきました。
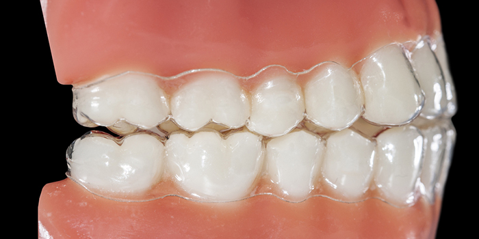
矯正治療の方法として、インビザライン(マウスピース矯正)という方法があります。インビザラインは、ブラケット(歯につける金属の止め具)やワイヤーを付ける事無く、歯科矯正できる治療法です。
1.インビザラインとは?
インビザラインは、ワイヤーとブラケットを使用しないで歯並びの矯正をするマウスピース矯正のひとつです。
ワイヤーとブラケットを使う矯正法は、最もスタンダードな方法で、実績のある方法です。しかし、金属で出来ているため、銀色をしているので、口を開けた時に目立つのを嫌がる人も多く存在します。近年、透明なブラケットを使う方法や、目立ちにくい舌側(歯の裏側)にブラケットを取り付ける方法もありますが、ブラケットを付ける不快感は無くならないため、できれば付けたくないという人も居ます。
インビザラインは、歯科医院で、歯型にあわせて作った透明なマウスピースを使い矯正していく方法です。自分で、自宅に居る時などに、正しい順序でマウスピースを付け外して矯正していきます。インビザラインは近年のCAD/CAMを応用して、ロボットが矯正装置を作る革新的な矯正技術です。成人だけで無く、歯の生え変わり最中である子供にも適応できます。
2.インビザラインが適応可能なケースとは

インビザラインは、全てのケースに適応できるわけではありません。適応できるかどうかは、歯科医院での検査と診断が必要になりますが、次のような基準が目安となります。
a. 歯の根の移動が必要ないケース
インビザラインによる歯の移動は、主に萌出している歯の頭の部分のみを動かすものになります。斜めになっている歯を真っすぐにするような治療には向いていますが、顎の骨の中にある歯の根の向きを変えるような治療には向いていません。
b. 歯のがたつきが少ないケース
歯のがたつきが強い場合は、歯の移動距離が大きく、歯の根の向きを変える必要があるため、インビザラインでは、改善をするのが難しくなります。
c. 抜歯をする必要が無い
スペース不足などで、矯正治療に抜歯を伴う場合があります。抜歯をする場合、歯の移動距離が長くなるので、インビザラインには向いていません。抜歯をする場合でも、診断結果によっては、条件が揃えば、適応となる事もあります。
d. 上下の顎の位置に、前後左右のズレが無いケース
骨格的なズレがあるケースは、インビザラインだけでは矯正が難しくなります。ワイヤーとブラケットを使用した矯正治療でないと、全ての問題点を改善するのは難しいでしょう。この診断を誤ると、アライナーを追加で増やすなど、時間と費用がかかる、負担の多いインビザライン治療になってしまいます。
3.インビザラインのメリットとデメリット
(1)インビザラインのメリット
a. 人に気付かれにくい
透明なアライナーを装着する矯正治療なので、とにかく目立ちません。
b. 痛みが少ない
軟らかく、薄い素材でできているため、周囲の粘膜を傷つける心配がありません。またオーダーメイドで作製されるためフィット感があります。
c. 簡単に取り外しできる
食事の際など、簡単に取り外す事ができます。外した状態で、歯磨きをする事もできるので、口の中を清潔に保ちやすくなります。
d. 金属アレルギーの人でも安心
金属を使わない治療法なので、金属アレルギーがある人でも安心して治療を受ける事ができます。
(2)インビザラインのデメリット
a. 適応とならないケースがある
前に説明したように、全てのケースに適応となるわけではありません。特に後戻りの再治療や歯根の移動が必要なケースや、重度の不正咬合には向いていない矯正方法です。
b. 装置の交換・管理を自分でやらなければならない
付けっぱなしのブラケット矯正とは違い、取り外しができるインビザラインは、自分で管理をする必要があります。食事の際や歯磨きの際は、取り外し、紛失・破損しないようにケースの中にしまいます。食事の後は、歯磨きと一緒にアライナーも洗浄し、再び自分ではめなくてはなりません。
c. アライナーができるのに時間がかかる
アライナーはアメリカのインビザラインの会社とやり取りをして作らなくてはなりません。一連のアライナーが完成するのに約6週間かかります。
まず、歯形と口腔・顔面写真、治療計画書を歯科医院で作製し、インビザラインの会社に送付します。その後、それらの資料を元に、コンピューターシュミレーションをして分析し、分析結果を元に、日本の矯正歯科医とやり取りをして、アライナーを完成させます。
近年、デジタルテクノロジーが発展し、これまで矯正歯科医が手で行っていた作業の多くをロボットが行えるようになりました。今後はもっと、時間も短縮し、簡単に作る事が可能になるかもしれません。
d. 治療期間が長くなる事がある
簡単に取り外しが出来る事は、時にデメリットとなります。矯正治療で、歯がもっとも動きやすいのは、適切な力が24時間持続的にかかっている状態だと言われています。インビザラインの場合、取り外している時間があるため、装着時間が断続的になるため、治療にかかる期間は、通常の矯正治療よりも長くなります。
外している時間が長ければ長いほど歯が動くのが遅くなります。さらに、取り外した後アライナーをはめるときに正しくはまっていないリスクが常にあります。
4.虫歯のリスク

これは、ブラケットの矯正治療でも、インビザラインの矯正治療でも言える事ですが、装置を使って行う矯正治療では、どうしても周囲に汚れが溜まりやすくなるため、虫歯のリスクが高まります。せっかくきれいな歯並びを手に入れても、虫歯だらけの歯になってしまっては意味がありません。どの矯正治療を選択する場合でも必ず頭に入れておきましょう。
インビザラインの場合は、ブラケット治療と比較すると、装置の細かい隙間などが無いので、汚れは溜まりにくくなります。ただし、アライナーに汚れが多く付着していると、それを装着する歯も汚れてしまいます。必ず、毎日アライナーを一度取り外し、自分の歯とアライナーを丁寧に清掃した後、再び装着するようにしましょう。
5.矯正治療のすすめ
矯正治療は、見た目の美しさだけで無く、歯や口腔の健康にもプラスの効果があります。例えば、出っ歯、受け口、開咬、歯の叢生やすきっ歯などは虫歯や口臭、歯周病、あごの疲れ、歯の磨耗につながります。
現在では多くの一般歯科医院がインビザラインを行っています。インビザラインの矯正に興味を持った方は、一度相談を受けてみてはいかがでしょうか。
6.まとめ
新しい矯正治療法であるインビザラインは、ワイヤーとブラケットを装着せずに行う事ができる治療法です。ブラケット矯正の違和感や見た目に抵抗のあった方でも、インビザラインは、目立ちにくい歯科矯正方法なので、周りに気付かれずに治療を行う事ができます。ただし、全ての症例が適応となるわけではありませんが、行う事ができる場合には、利点の多い矯正治療法だと言えるでしょう。
まだ取り扱っている医院が少ないですが、これからもっとインビザライン矯正治療法は広がっていくでしょう。








